Services
General Dentistry
Manassra Dental provides comprehensive general dentistry in San Jose, CA, combining thorough examinations, professional cleanings, advanced 3D imaging, and oral cancer screenings under one roof. With over 14 years of clinical experience and state-of-the-art technology, Dr. Ahmed Manassra and our team deliver precise, compassionate care for patients of all ages. Call our Blossom Hill Road office today to schedule your next appointment.
The Foundation of Great Dental Care
Comprehensive Exams: The Cornerstone of Lasting Oral Health
Good dental care? It starts with actually knowing what’s going on inside your mouth. We’re big believers at Manassra Dental that a thorough exam is the single most important thing you can do for your teeth, your gums, and honestly your whole body over the long haul.
Here’s what bugs us. So many dental problems fly under the radar until they hurt or cost a fortune to fix. A hairline crack in a molar, some early gum recession hiding behind your back teeth, a tiny soft tissue change you’d never notice on your own. All of that gets caught during a detailed exam, way before it turns into something serious. That’s exactly why we pour real time and real technology into every evaluation at our San Jose office.
Our whole approach to general dentistry is built on precision. We don’t rush. We don’t guess. Dr. Ahmed Manassra pairs hands-on clinical assessment with advanced digital imaging so we get the full picture of your oral health. His training from both Al-Quds University and Tufts University School of Dental Medicine means he brings a truly evidence-based perspective to every appointment, and nothing slips through the cracks.
Why Trust Manassra Dental in San Jose for Your Examinations and Diagnostics?
Expertise
Dr. Ahmed Manassra combines dental expertise with a gentle, personalized approach that prioritizes patient comfort.
Comprehensive Care
Our exams detect potential problems early and prevent them through proactive intervention and personalized treatment planning.
Cutting-Edge Technology
With digital X-rays and 3D imaging, we utilize the latest dental technologies to provide precise, minimally invasive diagnostics.
Patient-Centered Experience
We create a relaxing, supportive environment where you are fully informed and comfortable throughout your visits.
Long-Term Wellness Focus
We believe dentistry is not just about treating issues—it’s about building lifelong oral health habits that support your overall wellness.
The Foundation of Your Dental Care
Comprehensive Oral Examination in San Jose
Think of a comprehensive oral examination as a complete baseline snapshot of your entire oral health. It’s the most thorough evaluation we offer, and we typically perform it during your first visit to Manassra Dental or if it’s been a while since you’ve seen any dentist. You’re starting fresh with us, so we want to know everything.
What a Comprehensive Exam Includes:
- A thorough review of your medical and dental history to identify factors affecting dental health
- A detailed visual and tactile inspection of teeth, gums, jaw joints, tongue, throat, and oral tissues
- Oral cancer screening, which checks for abnormal lumps, sores, or discolorations to catch potential problems early
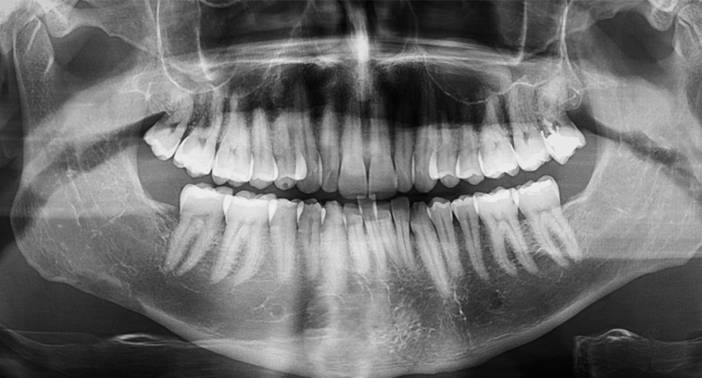
- Digital X-rays that capture current images of your teeth and bone structure
- 3D Dental Imaging (Cone Beam CT) when needed for an in-depth 3D view of hard and soft tissues
- Periodontal disease evaluation to assess gum health and measure pocket depths around teeth to detect gum disease
Why the Comprehensive Exam Matters:
The American Dental Association recommends that adults receive a comprehensive evaluation periodically to keep an updated record of their oral health status. This is especially relevant if you’re a new patient, haven’t been to a dentist in over a year, or if something’s changed medically. New medications, a diabetes diagnosis, things like that can shift your oral health in ways you wouldn’t expect.
At our San Jose dental office, we pair the clinical exam with digital X-rays and, when needed, 3D dental imaging to see what’s hiding beneath the surface. Visual inspection plus advanced imaging? That combination gives us a remarkably detailed understanding of what’s happening in your mouth.
After the exam, Dr. Manassra sits down with you. He reviews the findings, explains any concerns in plain language (no jargon), and walks through your treatment options. We never pressure anyone into procedures. Honest recommendations, informed decisions. That’s how we operate.
Periodic Oral Examination in San Jose: Ongoing Care to Catch Issues Early
After establishing a baseline with the comprehensive exam, periodic oral examinations are performed regularly—usually every six months during routine dental visits. These exams focus on monitoring your oral health status, catching any changes or emerging problems early.
During a periodic exam, Dr. Manassra or our hygienists will:
- Reassess all areas of your mouth compared to the previous baseline exam
- Look for new cavities, gum inflammation, or other abnormalities
- Conduct another oral cancer screening to ensure tissue health
- Review any existing dental work such as fillings, crowns, or implants, for wear or issues
- Take additional X-rays or 3D images as indicated by changes or symptoms
Periodic exams are crucial in preventive dentistry to maintain your smile’s health, reduce the risk of advanced disease, and avoid complex procedures later on. They also provide opportunities for answering your questions and refining your oral care regimen and good oral health.
Limited Oral Examination in San Jose (Problem-Focused): Targeted Care When You Need It
Sometimes, urgent dental issues such as pain, swelling, or trauma require focused attention. A limited oral examination, also called a problem-focused exam, addresses these immediate concerns promptly.
This exam involves:
- A concentrated evaluation of the specific area or tooth causing discomfort or visible problem
- Review and interpretation of targeted digital X-rays to diagnose the issue
- Identification of acute conditions such as abscesses, fractures, or infections
- Recommendations for immediate relief or scheduling follow-up treatments
Limited exams are essential for diagnosing dental emergencies quickly, minimizing discomfort, and preventing complications. Unlike comprehensive or periodic exams, limited exams prioritize immediate problem-solving rather than whole-mouth assessment.
Advanced Imaging in San Jose: Digital X-Rays and 3D Dental Imaging for Precision
We’ve completely replaced traditional film X-rays with digital radiography at our San Jose office, and the benefits are substantial. Digital X-rays produce high-resolution images instantly. Dr. Manassra can pull them up on a chairside monitor and review findings with you in real time. No waiting for film to develop. The images can be enlarged, enhanced, and compared side by side with previous X-rays for precise analysis.
Here’s the big one though. Digital X-rays emit up to 80% less radiation than conventional film-based systems. Dental X-rays have always been considered safe, but we follow the ALARA principle (As Low As Reasonably Achievable) to minimize exposure for every patient. Especially children and pregnant women.
3D DENTAL IMAGING
For more complex cases, we use 3D cone beam computed tomography (CBCT). It produces a detailed three-dimensional model of your teeth, jawbone, sinuses, and surrounding structures. This technology is invaluable for planning dental implant placement, evaluating impacted teeth, diagnosing jaw pathology, and assessing bone volume before procedures like bone grafting or sinus lifts.A CBCT scan takes only seconds. Seconds. And it provides information that flat, two-dimensional X-rays simply can’t capture. When planning an All-on-4 full arch restoration, for instance, Dr. Manassra uses 3D imaging to map the exact bone density and anatomy of your jaw. Implants get placed with millimeter-level precision. That level of planning directly translates to better outcomes and faster healing for you.
Oral Cancer Screening in San Jose: Early Detection Saves Lives
Oral cancer is one of the most serious conditions we screen for during every examination. Early detection can literally be the difference between a straightforward treatment and a life-threatening diagnosis. According to the Oral Cancer Foundation, roughly 54,000 Americans are diagnosed with oral or oropharyngeal cancer each year. The five-year survival rate improves dramatically when the disease is caught early. Dramatically.
How We Screen for Oral Cancer
During your comprehensive or periodic exam, Dr. Manassra performs a systematic visual and tactile examination of all soft tissues in your mouth. That means the tongue (top, bottom, and sides), the floor of the mouth, inner cheeks, hard and soft palate, gums, and the back of the throat. He also palpates the lymph nodes in your neck and jaw, checking for unusual swelling or firmness.
What are we looking for? White or red patches (leukoplakia or erythroplakia), non-healing sores, lumps, thickened tissue, or areas of numbness. Many of these changes are painless in their early stages. That’s exactly why professional screening matters so much. You might not notice a thing, but a trained clinician will.
Who Is at Risk?
Anyone can develop oral cancer. That said, certain factors raise your risk. Tobacco use (smokeless tobacco included), heavy alcohol consumption, prolonged sun exposure to the lips, and HPV infection are all well-established risk factors. But here’s what’s concerning: a growing percentage of oral cancer cases show up in patients with none of those traditional risk factors. That’s why routine screening matters for everyone, not just high-risk groups.
If Dr. Manassra spots any suspicious tissue during your screening, he can perform an oral pathology biopsy right here in our office. No waiting weeks for a referral to get answers. We move quickly because time matters with cancer. It just does.
What to Expect During a Preventative Dental Appointment
Visiting Manassra Dental is a stress-free, welcoming experience, where Dr. Manassra takes the time to explain your oral health, answer questions, and create a care plan tailored to your needs and lifestyle.
A comprehensive oral exam to check for cavities, gum disease, and bite issues
A gentle professional cleaning to remove plaque and tartar buildup
Digital X-rays are necessary for early problem detection
Oral cancer screening as part of your preventive care
Personalized recommendations for ongoing care, diet, and home hygiene routines
General Dentistry for the Whole Family
From children’s first dental visit to advanced care for adults and seniors, Manassra Dental provides comprehensive dentistry under one roof. As an American Dental Association (ADA)-affiliated practice, we provide general and preventive care designed to keep every member of your family smiling with confidence. Whether your child needs a cavity treated with a tooth-colored filling or you need professional gum therapy, you can always trust our office to provide compassionate solutions in a comfortable setting.
Your Partner In Prevention
Oral cancer screening takes only a few minutes. Completely painless. Yet it has the potential to save your life. We include it as a standard part of every examination at Manassra Dental because we genuinely care about the long-term health of every patient who walks through our door. Prevention and early detection will always beat reactive treatment, and this screening is one of the most meaningful things we can do for you during a routine visit.
If it’s been more than six months since your last dental exam, or if you’ve never had an oral cancer screening, we’d love to hear from you. Contact our San Jose office at 841 Blossom Hill Rd, Suite 202, to schedule an appointment. Your health is worth it, and our team is here to take care of you.
Technology that Makes a Difference:
Our Blossom Hill Road office runs on the latest dental technology, including digital X-ray systems and 3D cone beam imaging. These tools slash radiation exposure compared to old-school film X-rays while producing dramatically sharper images. For our team, that means more accurate diagnoses. For you? Fewer surprises and more predictable results.
Here’s something you might not think about. San Jose’s climate, with those warm, dry summers that regularly push past 90 degrees, actually influences how we maintain our office. We keep precise climate control throughout our operatories so patients stay comfortable and temperature-sensitive dental materials and medications stay stable. It’s a small detail, but it matters.
Comfort at Every Visit:
Look, we get it. Lots of people feel anxious about going to the dentist. That’s why we’ve created an environment that feels more like a retreat than a clinical setting. Our reception area offers refreshments, and each dental chair comes with cozy blankets, pillows, and headphones so you can actually relax during treatment.
Need a little extra help managing anxiety? We offer nitrous oxide sedation, oral sedation, and IV sedation options. Dr. Manassra personally evaluates each patient to figure out the safest, most appropriate sedation level. You’ll stay comfortable the whole time.
Serving San Jose's Diverse Community:
San Jose is one of the most diverse cities in California. We’re proud that our practice reflects that. Dr. Manassra and members of our team speak Arabic along with English, which makes dental care more accessible for Arabic-speaking families in the community. Clear communication between patient and provider isn’t optional. It’s essential for building trust and delivering excellent care.
Frequently Asked Questions:
How often should I get a dental exam and cleaning in San Jose?
Most adults and children should receive a professional dental exam and cleaning every six months. Patients with a history of gum disease, heavy tartar buildup, or certain medical conditions may benefit from visits every three to four months. Dr. Manassra will recommend a personalized schedule based on your oral health needs.
What is the difference between a comprehensive exam and a periodic exam?
A comprehensive oral examination is a thorough baseline evaluation of your entire mouth, typically performed at your first visit or after a long gap between appointments. A periodic oral examination is a follow-up evaluation performed at regular checkup visits that focuses on changes since your last appointment.
Are digital X-rays safe?
Yes. Digital X-rays at Manassra Dental emit up to 80% less radiation than traditional film X-rays. We follow the ALARA principle (As Low As Reasonably Achievable) to minimize radiation exposure for all patients, including children and pregnant women.
What is 3D dental imaging used for?
3D cone beam CT imaging creates a detailed three-dimensional model of your teeth, jawbone, and surrounding structures. It is used for planning dental implants, evaluating impacted wisdom teeth, assessing bone volume for grafting procedures, and diagnosing complex dental conditions that two-dimensional X-rays cannot fully reveal.
Does Manassra Dental offer oral cancer screenings?
Yes. Oral cancer screening is included as a standard part of every comprehensive and periodic examination at Manassra Dental. Dr. Manassra performs a visual and tactile examination of all soft tissues in the mouth and can perform an oral pathology biopsy on-site if any suspicious tissue is identified.
Does Manassra Dental accept emergency dental visits?
Yes. We reserve time in our schedule for urgent and emergency appointments. If you are experiencing a toothache, broken tooth, swelling, or other acute dental problem, contact our San Jose office and our team will work to see you as quickly as possible, often the same day.
Why Patients Love Manassra Dental
Expertise
Dr. Ahmed Manassra combines dental expertise with a gentle, personalized approach that prioritizes patient comfort.
Comprehensive Care
Our exams detect potential problems early and prevent them through proactive intervention and personalized treatment planning.
Cutting-Edge Technology
With digital X-rays and 3D imaging, we utilize the latest dental technologies to provide precise, minimally invasive diagnostics.
Patient-Centered Experience
We create a relaxing, supportive environment where you are fully informed and comfortable throughout your visits.
Long-Term Wellness Focus
We believe dentistry is not just about treating issues—it’s about building lifelong oral health habits that support your overall wellness.
Contact
Schedule Your Comprehensive Dental Exam in San Jose Today
Start or continue your oral health journey with Manassra Dental’s expert exams and diagnostic services in San Jose, CA. Whether it’s your first visit or a routine checkup, our team catches problems early, creates personalized treatment plans, and helps keep your smile healthy and beautiful for years.
Call (408) 809-7760 or book your appointment online for a comprehensive, periodic, or limited exam tailored to your needs.
Open Hours
Mon-Fri: 9am to 5pm
Sat: Closed
Sun: Closed
Location
841 Blossom Hill Rd, Suite 202
San Jose, CA 95123